Your Smile Matters to Us

Meet Dr. Mounira Farhat

A female dentist wearing glasses and a teal dental coat, sitting in a dental clinic in front of dental X-ray images on a computer monitor.

Dr. Mounira Farhat is a compassionate general dentist dedicated to providing high-quality, personalized care in a comfortable and welcoming environment. She earned her degree from NYU College of Dentistry and has over 30 years of experience in restorative, cosmetic, and preventive dentistry.

Fluent in English, Arabic, and French, Dr. Farhat connects easily with a diverse range of patients and ensures clear, stress-free communication at every visit. She is committed to helping patients achieve healthy, confident smiles using modern techniques and advanced technology.

Schedule your appointment today and take the first step toward a healthier, more confident smile.

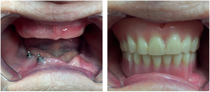
Close-up of dental implants on the lower jaw in the left image; upper and lower teeth, some discolored, in the right image.

Our Smile Gallery

Dentures

Before &After

Comparison of teeth before and after dental treatment showing improved alignment and appearance.

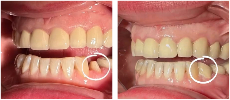
Flipper Tooth

Before & After

Comparison of teeth showing a chipped front tooth on the left and a repaired front tooth on the right.

Zirconia Crown

Before & After

What Our Patients Are Saying